Im Buch „The Complete Guide to Memory“ erklärt Dr. Restak, wie sich Alkoholkonsum auf das Gehirn auswirkt. „Alkohol ist ein schwaches Neurotoxin“, so Restak. Er betont ausdrücklich, dass Alkohol die Funktion der Nervenzellen beeinträchtigen kann. Besonders gefährlich wird es im Alter, wenn die Anzahl der Nervenzellen im Gehirn auf natürliche Weise abnimmt. Dann können selbst kleine Mengen Alkohol dazu führen, dass das Risiko für kognitive Beeinträchtigungen erhöht ist.
Laut Dr. Restak markiert das Alter von 65 Jahren ein entscheidender Wendepunkt. Deswegen empfiehlt er, den Alkoholkonsum ab diesem Zeitpunkt drastisch zu reduzieren und am besten bis zum 70. Lebensjahr ganz aufzugeben. Seine Argumentation untermauert er mit folgendem Argument: Der Schutz der Neuronen ist in diesem Alter besonders entscheidend, denn sie können dabei helfen, schlimme Krankheiten wie Demenz vorzubeugen.
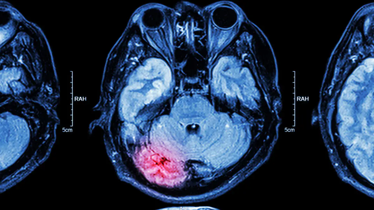
Alkohol im Alter: Diese Risiken sollte man definitiv nicht unterschätzen

Die Daten der Alzheimer Gesellschaft untermauern die Warnung von Dr. Restak. Studien machen nämlich eindeutig klar, dass Menschen, die regelmäßig im übermäßigen Stil Alkohol konsumieren, ein erhöhtes Risiko haben, beispielsweise an Demenz zu erkranken. Gleichzeitig wird aber auch vor einem weiteren Risiko gewarnt: Stürze. Im Alter führen selbst kleine Mengen Alkohol zur Beeinträchtigung der Koordination. Das Sturzrisiko und die Gefahr schwerer Verletzungen ist somit erhöht.
Dr. Restak möchte, dass man das eigene Trinkverhalten hinterfragt. „Wenn Sie trinken, um Ihre Stimmung zu heben oder Ängste zu bewältigen, ist es möglicherweise Zeit, darüber nachzudenken, aufzuhören“, so der Neurologie. Alkohol kann zwar kurzfristig dazu führen, dass man sich entspannt fühlt, langfristig schadet der Alkohol jedoch dem Körper und dem Geist.
